Marino Family Dental | Root Canals, Cosmetic Dentistry and Ceramic Crowns

Dental Lab

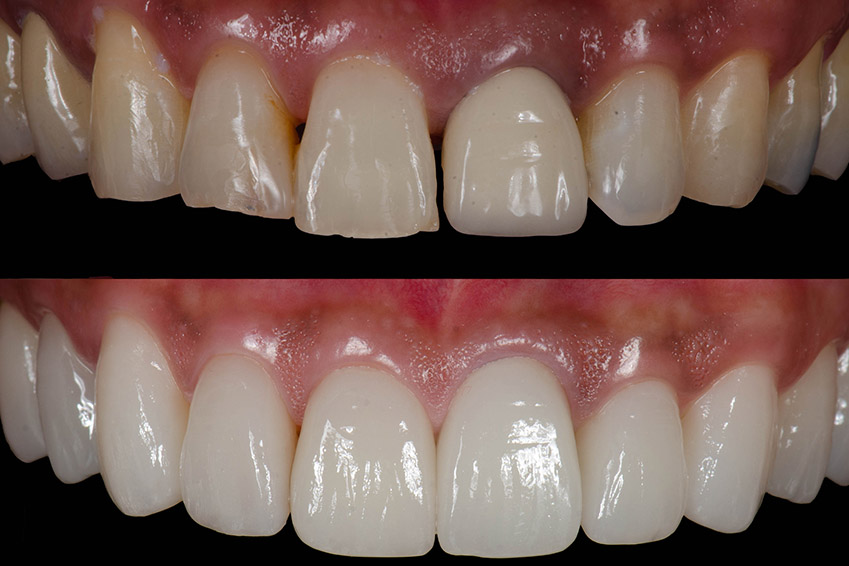
Our Local Dental Porcelain Laboratory Partnership

Master Craftsmanship. Elevated Aesthetics. Uncompromised Quality.

For our Marino Family Dental general practice patients and our Anelisse Aesthetic Dental Design Cases alike , we believe that a truly beautiful smile begins with precision — and that starts in the lab. That’s why we proudly partner with a local master ceramist who brings over 30 years of experience in crafting high-end porcelain restorations, including crowns, bridges, and veneers.

By working with a local laboratory — rather than outsourcing to out-of-state or overseas labs — we maintain direct communication, real-time collaboration, and the ability to fine-tune every detail of your smile. This level of partnership allows for customized control over tooth shape, length, texture, and shade, ensuring that each restoration is perfectly tailored to your features.

Marino Family Dental | Sedation Dentistry, Oral Exams and Restorative Treatments

Unlike many commercial labs that use mass-produced materials resulting in flat, overly white “chiclet” smiles, our ceramist is known for using high-quality porcelain that mimics the natural translucency and pearlescent glow of real tooth enamel. The difference is not only visible — it’s felt.

His expertise has been trusted by celebrities and high-profile individuals from his work during his years of craftsmanship while in New York, and his artistry helps bring to life the natural, elevated smiles our patients love.

When you choose us, you’re not just receiving a restoration — you’re investing in a handcrafted result, backed by local artistry and excellence that’s never rushed, outsourced, or compromised.

Marino Family Dental | Extractions, Preventative Program and Oral Surgery
Marino Family Dental | Family Dentistry, Dentures and Root Canals
Marino Family Dental | ClearCorrect reg , Night Guards and Ceramic Crowns
Marino Family Dental | Dental Fillings, Oral Surgery and Hollywood Porcelain Veneer Smile Transformations
Marino Family Dental | Restorative Treatments, Family Dentistry and Professional In-Office Teeth Whitening
Marino Family Dental | ClearCorrect reg , Dentures and Oral Exams


Our Local Denture Laboratory Partnership

Reliable Fit. Local Craftsmanship. Restoring Confidence.

In addition to our cosmetic and restorative dental lab, we proudly partner with a separate local laboratory that specializes in the fabrication of full and partial dentures. This trusted partnership allows us to provide patients with natural-looking, functional dentures crafted with care, precision, and responsiveness — all within our own community.

Unlike many practices that outsource denture fabrication to out-of-state or even international labs — leading to communication delays and impersonal results — working with a local denture lab means we can ensure a better fit, faster turnaround, and greater quality control throughout the process.

Our lab technicians are skilled in creating dentures that are durable, comfortable, and customized to your facial features and bite function. Whether you’re receiving your first denture or replacing an existing one, we collaborate closely to ensure your prosthesis restores both your smile and your confidence.

From relines and repairs to full arch solutions, this local partnership reflects our commitment to combining clinical excellence with personalized care — so you feel supported every step of the way.

Marino Family Dental | Hollywood Porcelain Veneer Smile Transformations, Dental Cleanings and Implant Dentistry
Marino Family Dental | Extractions, Dental Cleanings and Root Canals

Office Hours

Monday
9:00 am - 5:00 pm
Tuesday
9:00 am - 5:00 pm
Wednesday
9:00 am - 5:00 pm
Thursday
12:00 pm - 7:00 pm
Friday
9:00 am - 2:00 pm
By appointment only
Saturday
Closed